原创:硬核小蜜锋 文章来源:干细胞之父
在医疗手术中,移植自己的细胞或组织,往往意味着安全高效,但凡事并不绝对。比如间充质干细胞疗法,使用“自体”与“异体”就各有优势,选择也因人而异。通常而言,年龄与身体状况是重要的参考指标,一般40岁以上,或身体伴有疾病与亚健康状态时,不建议使用自体干细胞,反之可选。为什么会有这样的结论?本篇文章就将结合过往研究,与您详细探讨异体与自体干细胞之间的选择问题。
毫无疑问,间充质干细胞(MSC)是疾病治疗领域冉冉升起的一颗新星。
2022年,《Signal Transduction and Targeted Therapy》(影响因子:40.8)一项综述[1]称MSC是治疗神经系统疾病、呼吸系统疾病和肺纤维化、代谢/内分泌相关疾病、骨关节炎和心血管疾病的“潜力股”[1]。而在全球范围内,以干细胞对抗衰老也已经成为一种趋势,一种风尚。

△《Signal Transduction and Targeted Therapy》是《Nature》旗下的新期刊
不过谈到具体应用时,人们却分成了两派——有人偏向使用自体MSC,坚称:“自产自用”更安全,回输的干细胞更不容易被机体代谢。而“异体派”则认为:使用婴儿围产组织来源的异体MSC是在“变废为宝”,不但绕过了繁琐的采集,还获取了生物学特性更优异的MSC。
事实上,两者提到的观点都具有一定的道理。只是生活总存在各类变量,比如年龄、身体状况,使用时效,患者承受能力等等,它们会影响干细胞的使用,也会将这个问题引向不同的答案。
01
衰老与疾病
自体干细胞的两道“枷锁”
间充质干细胞(MSC),是自然组织修复再生系统的基础之一。凭借着强大的自我更新和多向分化能力,它能向成骨细胞、成肌细胞、脂肪细胞、软骨细胞等成基质谱系细胞分化。而除了出色的“可塑性”之外,MSC还具有免疫调节和抗炎的特性。
更难得的是,它的来源很广泛,在成年人的牙髓、脂肪、骨髓中都能发现它的身影。
这意味着,我们能从自己的身体里获得“良药”,并以自然的方式去“纠正”机体的疾病,修复内里的损伤,既没有伦理风险,也几乎不存在副作用。
这些优秀的特性吸引了大批的科学家,他们陆续将自体干细胞应用于治疗糖尿病、心脑血管疾病、神经退行性疾病等等疑难杂症,并颇有建树,自体干细胞也被陆续写入心力衰竭、下肢慢性缺血性疾病等疾病的专家共识里。
然而,在干细胞研究这股浪潮之中,研究者们也发现了自体干细胞的局限。
自体干细胞受限于年龄
我们体内的干细胞并不是一层不变的,其数量及功能都会随着年龄的增长而出现“断崖式”的滑坡。这种耗竭用数字图形表现起来非常直观,让我们逐一来看。
1、数量骤降95%
2007年,间充质干细胞之父Arnold Caplan测定了从出生到80岁的骨髓间充质干细胞(BM-MSC)的含量[2]。
在新生儿期,人体骨髓MSC含量最高,每1万个骨髓细胞里有1个是BM-MSC;而到了80岁,每200万个骨髓细胞里只能挑出1个BM-MSC。换句话说,80岁老人的骨髓MSC含量仅有新生儿的两百分之一,这也是为什么老年人骨折恢复特别缓慢的重要原因。

△人类骨髓中间充质干细胞含量随年龄变化图
2、扩增能力显著下降
强大的扩增能力是产生足量干细胞,满足临床治疗需求的基础,此前,亚利桑那大学医学院曾将参与者按照年龄分组,分别检测了来自年轻组(<30岁),成年组(35-50岁)和老年组(>60岁)脂肪间充质干细胞(AT-MSC)的扩增能力[3]。
他们发现,对比40岁以下的AT-MSC,50岁以上的AT-MSC表现出明显的衰老特征,如:SA-β-gal活性是鉴定衰老细胞最常用的生物标志物,而后者的含量几乎是前者的两倍多。

△从年轻和老年供体分离的AT-MSC中年龄相关参数的比较
在随后的扩增测试中,年轻组和成年组的干细胞也不出所料地扩增出更大的细胞集落,相较而言,老年组的细胞增殖速度更慢,细胞倍增时间显著增加,最后生成的集落也很小。
3、分化能力显著下降
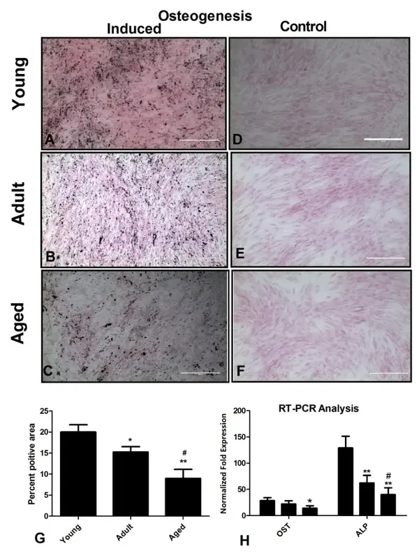
亚利桑那大学医学院还就不同年龄段MSC的分化能力做了进一步分析,具体评估AT-MSC向脂肪细胞、骨细胞、软骨细胞及神经细胞分化的能力。其中成脂的分化潜能与年龄无关,但在比较后三者时,老年干细胞的“颓势”再次浮现。
向成骨细胞分化时:年轻组比成年组与老年组产生了更多的基质。同时RT-PCR分析显示,年轻的AT-MSC中成骨特异性基因的表达更高,以及骨钙素和碱性磷酸酶倍数表达。
向软骨细胞分化时:老年组在软骨基质形成和软骨相关基因表达方面显著落后,比如在聚集蛋白聚糖的表达上,年轻组:10.0 ± 1.5;成年组:4.3 ± 0.2;老年组:1.8 ± 0.4。综合结果表明:供体年龄负向调节AT-MSC向软骨分化。
向神经细胞分化时:无论供体年龄如何,AT-MSC都表现出神经元样分化,具有突出和细长的神经元结构,然而其他研究表明:在后期传代诱导AT-MSC扩增时,年轻的AT-MSC细胞还是优于老年细胞。

△供体年龄对 AT-MSCs 成骨潜力的影响
以上研究不难看出,年龄就像是干细胞质量的一道道门槛,随着岁月渐长,体内干细胞数量、及其扩增和分化能力都会有不同程度的下滑,甚至腰斩。而这种改变势必会影响到干细胞治疗的效果。
自体干细胞受限于供体健康
除了年龄之外,一些疾病的存在也会“重创”体内的干细胞。
2017年,《Stem Cells Translational Medicine》(影响因子:6.9)上有一则研究就证实[4]:长期患有2型糖尿病会降低干细胞的增殖能力、免疫抑制潜力及存活率。文章明确建议:当病患患有糖尿病超过10年且较为肥胖时,不再适合使用自体干细胞进行治疗。
除此以外,有文章还称从系统性红斑狼疮、类风湿关节炎和特发性血小板减少性紫癜患者骨髓中分离出的MSC存在异常形态,并伴有增殖速度减慢、和免疫调节功能下降的态势。
所以综合来看,如果你年纪不超过40岁,且身体健康(没有影响干细胞质量的疾病或亚健康状态),那么自体间充质干细胞会是一个很好的选择,除此之外,则建议选择异体间充质干细胞。
02
“异”军突起
异体干细胞打开成药可能性
听到异体,许多人第一反应是要配型,这里我们要明晰一个概念:与造血干细胞不同,回输异体MSC是不需要配型的,因为MSC的免疫原性很低——不表达白细胞抗原HLA-DR,且仅表达可以忽略的HLA-A、HLA-B,因此,即使异体使用也不会触发免疫排斥反应。
这道“豁免金牌”极大地拓宽了异体MSC的使用范围,也让自体与异体研究的数量走势总体相当,而到近些年,异体MSC研究甚至隐隐有超越之势。

△2004-2018年间充质干细胞临床试验趋势
为什么会这样?这其实是多因素造成的结果。
首先,异体MSC多源自于婴儿的围产组织,如胎盘、脐带和羊膜等,这类MSC素有“零岁细胞”之称,生来没有“年龄焦虑”。
2021年,爱尔兰国立大学曾对比脐带间充质干细胞(UC-MSC)、脂肪间充质干细胞(AT-MSC)和骨髓间充质干细胞(BM-MSC)之间的生物学特性[5],他们发现:
1、论增殖能力:UC-MSC>AT-MSC>BM-MSC;
2、论免疫原性:UC-MSC的HLA抗原表达最低,并不容易被免疫系统清除;
3、论免疫调节:UC-MSC>AT-MSC和BM-MSC;
4、论抑制炎症:UC-MSC、BM-MSC和AT-MSC都能有效抗炎,只是机制略有不同;
5、论分化潜能:存在一种由表观遗传因素驱动的“组织记忆”效应,驱使BM-MSC易分化为成骨细胞和软骨细胞,AT-MSC易分化为脂肪,UC-MSC则比较特殊,它在分化为成骨细胞及软骨细胞上能压过BM-MSC,并具有相对较高的胰腺再生和神经再生潜力。

△ UC-MSC、AT-MSC及BM-MSC生物差异性对比,图中额外增加表面标志物对比
所以对比其他组织来源的MSC,UC-MSC应该是临床中泛用性更强,生物学特性更优异的间充质干细胞。
其次,在生物学特性之外,异体MSC比自体MSC更具有时效性。作为“一对一”的定制化治疗,自体MSC治疗要经历多个步骤:从患者体内采集干细胞——在实验室培养(约4周)——进行治疗等步骤,这通常需要耗费一个月以上,对于需求迫切的急性疾病(如脊髓损伤、心肌梗塞等)而言,这是“致命”的缺陷。

△ 图片为自体脂肪干细胞制备的过程,每个病患都将是一个独立的生产线
相较而言,异体MSC所有的生产流程都可以发生在“有需求”前,生产药企会提前从健康供体身上提取MSC,通过分离,扩增等步骤将其制备成药,而后,这些药品会被放置于仓库冻存,静待“随取随用”,因此,异体MSC是真正有望实现批量化、规范化生产的“细胞药品”。
最后与采集繁琐程度有关,自体干细胞的采集通常使用“骨髓穿刺”和“抽脂手术”,我们以程度较轻的抽脂举例,手术时,医生会将一根空心金属管(直径从1mm到10mm不等)伸入患者的皮下脂肪层,一边“捣烂”脂肪,一边连血带脂地抽出脂肪组织。这番景象常常会“劝退”患者,而异体MSC直接省略掉了这一步骤。
△ 抽脂其实也是一种需要麻醉的外科手术
不用配型,较好生物学特性及便捷高效的使用,这些优势打开了异体干细胞成药及治疗更多疾病的可能性,也让其成为了目前干细胞治疗的有力选择。
总的来说,在能保障细胞质量的前提下,无论异体MSC还是自体MSC都能给予患者非凡的益处。但基于每个人不同的情况,40岁以下,且身体健康可选自体MSC ;40岁以上,或身体存在疾病或亚健康状态可选异体MSC。
03
集优点于一身
iPS技术开创治疗新路
而随着再生医学的发展,我们或许不再需要于自体与异体当中“择优而选”,一个同时具备“自取自用”及“优异生物学特性”的选项开始浮现,它就是诱导多能干细胞(iPSC)。
21世纪初,日本京都大学教授山中伸弥通过四个转录因子(OCT4、SOX2、KLF4和c-MYC),抹去了成熟纤维细胞的发育痕迹,使其退回到类似胚胎干细胞(ESC)的状态,即iPSC。
iPSC拥有不输ESC的“全能分化性”,能在适当的诱导下分化为动物体内几乎所有细胞类型,比如心肌细胞、胰岛细胞与神经细胞,当然也包括本文的主角——间充质干细胞(iPSC-MSC)。
这极大地拓宽间充质干细胞的来源,它意味着,我们可以无视供体的年龄与身体状况,只需用iPS技术将供体细胞转变为iPSC,并进一步诱导,就可以得到具有年轻遗传特征的iPSC-MSC。
与天然的MSC相比,iPSC-MSC的具有诸多优势,据国际期刊《Stem Cell Research & Therapy》今年10月发表的一篇论文[6]表示:
1、iPSC-MSC具有更强的增殖能力,并减少了与年龄相关的变化和异质性。
2、分化能力方面,iPSC-MSC的脂肪分化能力较强;在免疫相关功能方面,iPSC-MSC表现出更强的免疫抑制能力。与UC-MSC相比,iPSC-MSC的抗炎因子表达更高,这使得它们在治疗免疫相关疾病中更具潜力。

△ 论文:诱导多能干细胞来源的间充质干细胞:能否成为细胞治疗的新星
这种优势也延续到了疾病治疗里面。研究者发现:iPSC-MSC所展现的功能与传统MSC类似,同样具有调节免疫反应和促进组织修复,也同样在治疗缺血和炎症相关病症——如心肌梗死、下肢缺血、炎症性肠病和急性肺损伤等疾病上展现出不俗的潜力。而得益于突出的性质,iPSC-MSC在骨关节炎、椎间盘退变等研究中的治疗效果要优于传统MSC。
丰富的来源、充足的数量、良好的治疗效果、高度同质性、还有能够有效解决免疫排斥及伦理问题,iPSC-MSC就像一个集“自体”与“异体”优势于一体,且生物学特性还要更上一层楼的“最佳选项”,被科学家们视作未来细胞疗法的关键细胞来源,也引领着干细胞新的治疗方向。
参考资料:
[1]Stem cell-based therapy for human diseases.https://doi.org/10.1038/s41392-022-01134-4
[2]Adult mesenchymal stem cells for tissue engineering versus regenerative medicine.https://doi.org/10.1002/jcp.21200.
[3]Donor age negatively impacts adipose tissue-derived mesenchymal stem cell expansion and differentiation.https://doi.org/10.1186/1479-5876-12-8
[4]Type 2 diabetes mellitus duration and obesity alter the efficacy of autologously transplanted bone marrow-derived mesenchymal stem/stromal cells.https://doi.org/10.1002/sctm.20-0506
[5]When Origin Matters: Properties of Mesenchymal Stromal Cells From Different Sources for Clinical Translation in Kidney Disease. https://doi.org/10.3389/fmed.2021.728496
[6]Induced pluripotent stem cell-derived mesenchymal stem cells: whether they can become new stars of cell therapy. https://doi.org/10.1186/s13287-024-03968-x
内容来源华夏源干细胞,旨在科普相关知识,传递行业前沿进展,不作为医疗指导建议,如需就医请到正规医院就诊。
【关于逐典】
上海逐典生物科技有限公司,坐落于中国(上海)自由贸易试验区,获得ISO9001质量体系认证,是一家从事重组蛋白研发和销售的高新科技企业。

