简体中文
简体中文
English
产品中心
定制服务
语言

Science重磅:蛋白质编辑技术问世,十分钟内精准改造活细胞蛋白!

发布日期:2025-05-07 浏览量:3062

本文来源于微信公众:可研Plus   作者:Rick

目前研究蛋白质的主流方法是什么?大多数时候,我们会在目标蛋白上添加一个"标签"来追踪它,比如FLAG表位标签或绿色荧光蛋白GFP。

但这些标签存在明显缺陷,标签可能改变蛋白质的特性,影响其定位或相互作用;标签仅限于基因可编码的元素,无法使用非蛋白质小分子;这些方法通常缺乏时间分辨能力,难以研究快速动态的细胞过程。
宾大研究团队思考:能否开发一种技术,允许在蛋白质合成后直接修改其氨基酸序列,实现精准的时间控制并引入有用的非标准元素?
2025年5月1日,宾夕法尼亚大学George M. Burslem、Ophir Shalem团队带来了一项革命性突破——他们开发出一种能在活体哺乳动物细胞中进行"蛋白质编辑"的技术:‘Intracellular protein editing enables incorporation  of noncanonical residues in endogenous proteins’,首次实现了在内源性蛋白中精准植入非标准氨基酸和化学标记!这项研究刚刚发表在《Science》上,让我们一起来看看这项技术的奇妙之处。
图片
蛋白质编辑的天才设计
研究团队设计了一个基于"分离内肽"(split intein)的系统。内肽是一种能自我剪切并将周围肽链连接起来的蛋白质序列。他们使用了两对分离内肽(Gp41-1和AvaN:NpuC),通过串联安排,实现了蛋白质序列的编辑。
这个系统包含三个关键步骤(图1):
  1. 首先通过基因编辑,在目标蛋白的特定位点插入"内肽接受者"(intein acceptor)序列;
  2. 在大肠杆菌中制备含有所需货物(如非标准氨基酸)的"内肽供体"(intein donor)蛋白;
  3. 将内肽供体递送到细胞中,两对内肽迅速发生剪接反应,将供体中的货物精确插入目标蛋白。
神奇的是,剪接后内肽序列被完全移除,只留下编辑进去的目标序列,几乎不留痕迹!
剪接机制:当内肽供体被递送到细胞内后,反式剪接过程发生。第一步剪接,Gp41-1N (接受者上) 与 Gp41-1C (供体上) 相互识别并结合;第二步剪接,AvaN (供体上) 与 NpuC (接受者上) 相互识别并结合;双重剪接反应,两对内肽同时执行剪接反应,剪切掉所有内肽片段;剪接连接,目标蛋白的两个部分与cargo序列被精准连接在一起。
图片
图1
速度惊人,适用广泛

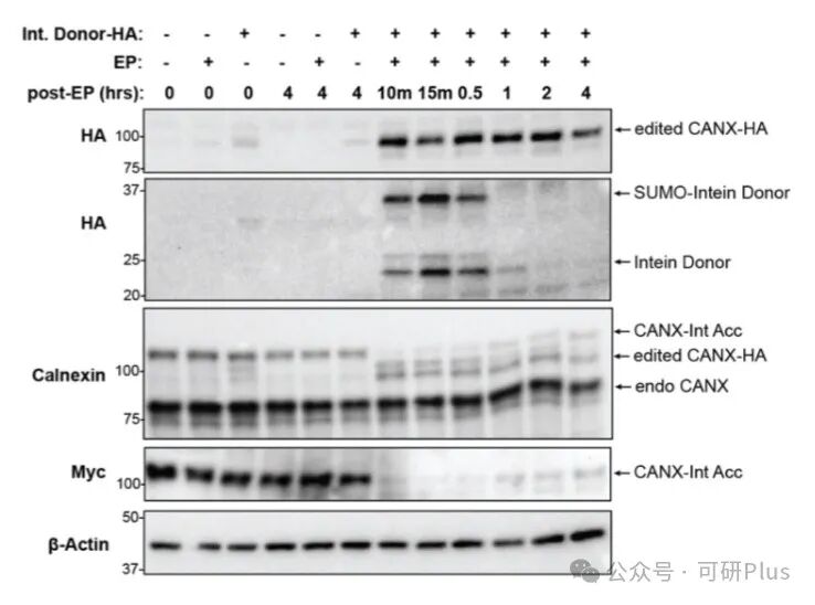
这项技术有多快?惊人的是,编辑过程在电穿孔递送内肽供体后仅需10分钟即可完成(图2)!这使得研究人员能够实时跟踪蛋白质的动态变化。
图片
图2
研究团队证明该技术适用于多种不同的蛋白质:内质网膜上的伴侣蛋白calnexin、细胞骨架组分β-actin和α-actinin-1、激酶Chk1、转录因子c-Myc。
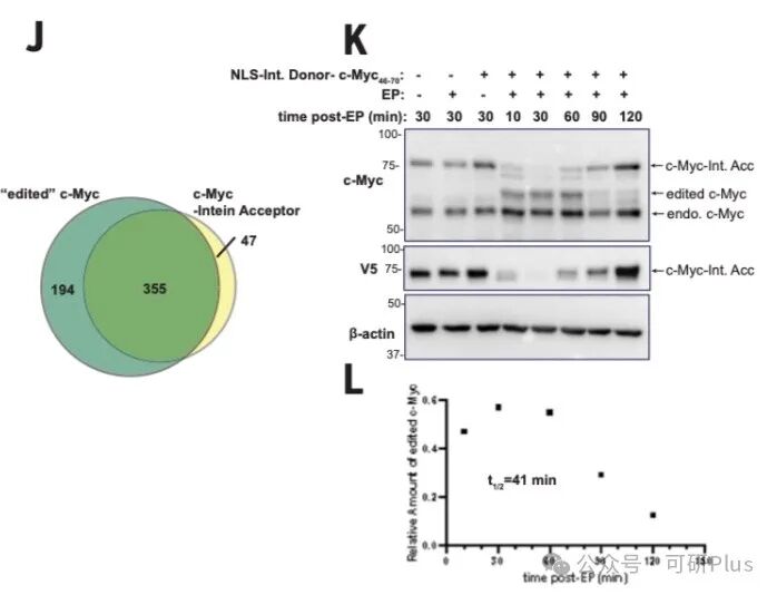
以c-Myc为例,他们成功编辑了蛋白质并追踪其降解动态,测得半衰期为41分钟(图3),与文献报道的半衰期一致。更重要的是,编辑后的c-Myc保持了其正常的DNA结合能力和基因调控功能。
图片
图3
引入非标准氨基酸和有用标记
这项技术最令人兴奋的应用是能够将非标准氨基酸和各种化学标记编辑到蛋白质中。
研究人员使用遗传密码扩展技术,在大肠杆菌中制备含有对叠氮苯丙氨酸(pAzF)的内肽供体蛋白。这种非标准氨基酸能通过点击化学反应连接各种有用分子:生物素(用于蛋白质分离);荧光团(用于显微成像);其他功能性分子。(图4)
通过这种方法,他们成功地将荧光团TAMRA编辑到内源性calnexin中,通过共聚焦显微镜观察到其准确的内质网定位。他们还将生物素编辑到calnexin中,并成功用链霉亲和素亲和纯化了这一蛋白。
图片
图4
蛋白质编辑与基因编辑(如CRISPR-Cas9)相比有何不同?
基因编辑:直接修改DNA序列,改变是永久性的,影响所有新合成的蛋白质,通常只能编码20种标准氨基酸。
蛋白质编辑:直接修改已翻译的蛋白质,提供精确的时间控制,可引入非标准氨基酸和化学标记,允许在特定时间点研究蛋白质功能。
这两种技术并非竞争关系,而是互补的。基因编辑为蛋白质编辑奠定基础(插入内肽接受者序列),而蛋白质编辑则提供了基因编辑所不具备的时间分辨能力和化学多样性。

这项蛋白质编辑技术将如何改变生物医学研究?
  • 研究快速动态的细胞信号转导过程;
  • 在内源蛋白中精确标记特定区域,不影响其功能;
  • 避免使用抗体进行蛋白质成像和分离;
  • 可能用于开发新型治疗策略。
与此同时,该技术仍有局限性。它依赖于初始的基因编辑来插入内肽接受者序列,并且目前主要应用于环和无序区域。尽管如此,随着内肽系统、遗传标记策略和结构预测算法的不断发展,研究人员预计这种方法最终可能适用于几乎所有蛋白质。
这项突破性技术为我们研究蛋白质提供了一种全新视角,让我们能够以前所未有的精度和时间分辨率操纵和观察细胞内的蛋白质。正如论文作者所说,蛋白质编辑将"催化对细胞生物化学新的基本理解"。
相关推荐